Обратный звонок
Ваше Имя
*
Телефон
*
Текст сообщения
*
Даю своё согласие на обработку моих персональных данных, в соответствии с
политикой конфиденциальности
*
Проверочный код
*
8 (343) 363-49-20
8 (922) 20-683-20
Обратный звонок
О нас
Услуги
Имплантация
Ортодонтия
Ортопедия
Терапия
Гигиена
Хирургия
Лечение пародонтита
Детский кабинет
Лечение беременных
Отбеливание зубов
Акции
Цены
Персонал
Отзывы
Контакты
Документы
Имплантация
Ортодонтия
Ортопедия
Терапия
Гигиена
Хирургия
Лечение пародонтита
Детский кабинет
Отбеливание зубов
Персонал
Отзывы
Главная
/
Галерея
/
Наши работы
Наши работы
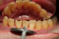
До профессиональной гигиены
Инфо
После профессиональной гигиены
Инфо
До профессиональной гигиены
Инфо
После профессиональной гигиены
Инфо
До реставрации
Инфо
После реставрации
Инфо
Исправление прикуса
до
Исправление прикуса
после
Исправление прикуса
до
Исправление прикуса
после
Исправление прикуса
до
Исправление прикуса
после